经常听到有人调侃“闲的蛋疼”,可能许多人不以为然。其实,“蛋疼”有可能是青少年常见的一种疾病,称“睾丸扭转”。
什么是睾丸扭转?
睾丸扭转是指睾丸沿精索纵轴旋转导致精索内血液循环发生障碍引起睾丸缺血性疾病,最终导致睾丸缺血性组织坏死和不可逆萎缩。是阴囊急诊的常见原因之一,可发生于任何年龄段,其中以青少年最常见。可合并睾丸附件扭转。
为什么会发生睾丸扭转?
睾丸扭转的发生与阴囊先天性解剖发育异常密切相关(包括精索过长、精索鞘膜附着异常、睾丸引带缺如等);另外,迷走神经兴奋、运动、外伤、寒冷季节或温度骤降等因素可使阴囊过度收缩而诱发睾丸扭转。
睾丸扭转有哪些症状?
睾丸扭转典型表现为:急痛红肿吐
①急:多突发疾病
②痛:腹部突然出现剧痛,睾丸出现剧痛
③红肿:阴囊常有红肿
④吐:可有恶心、呕吐
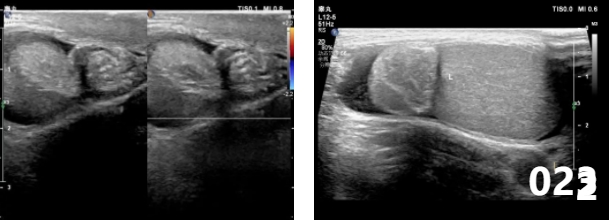
如何发现睾丸扭转?
彩色多普勒超声是发现睾丸扭转的首选检查方法。睾丸扭转在超声图像上有一定的特异性,且具有无创、无辐射、价格低廉等优势。

睾丸扭转怎样治疗?
睾丸扭转的治疗原则是尽快恢复扭转睾丸的血流,扭转时间和扭转角度是决定能否挽救睾丸的关键。治疗方法主要为手法复位和手术治疗两种。据调查发现,睾丸扭转6小时内睾丸保留率为90%,6-12小时睾丸保留率为50%。且拖延时间越长,预后越差,超过24小时绝大多数患者睾丸均已缺血坏死。
怎么预防发生睾丸扭转?
1. 睡觉姿势正确,避免压迫睾丸;
2. 家族中如有男性发生过该病,应提高警惕。避免睾丸损伤,避免做剧烈运动震荡睾丸;
3. 有研究表明睾丸扭转与较低的气温呈正相关,冬季应注意保暖;
4. 不要长时间骑车、坐在软绵沙发上,减少对睾丸的压迫;
5. 曾经出现突然的睾丸肿胀疼痛,即使自行缓解,也应及时就诊。
“蛋疼”绝非小事!一定要引起高度警惕,尤其是家有男宝的家长。一旦发现睾丸疼痛,应立即就诊并行超声检查,争取在黄金6小时内挽救睾丸!